티스토리 뷰
목차

유방결절이란
유방에 생긴 혹을 모두 일컫는 말입니다. 유방결절은 크게 양성유방질환과 악성 유방질환으로 나눌 수 있습니다.
◆ 양성유방질환
유방암과 같은 악성 질환은 아니지만, 크기가 커지거나 통증을 유발할 수 있습니다. 양성 유방질환의 종류로는 다음과 같은 것들이 있습니다.
ㆍ낭종 : 유선이나 결체 조직에 액체가 고여 생긴 혹입니다.
ㆍ섬유낭종성 변화 : 유선이나 결체 조직에 낭종과 섬유직이 함께 생긴 상태입니다.
ㆍ섬유선종 : 유선과 결제 조직이 혼합된 혹입니다.
ㆍ관내 유두종 : 유두관에 생긴 혹입니다.
ㆍ과오종 : 유방의 정상 세포가 비정상적으로 증식하여 생긴 혹입니다.
ㆍ과형성증 : 유선이나 결절 조직이 비정상적으로 증식하여 유방이 딱딱해지는 상태입니다.
ㆍ유방염 : 유방에 염증이 생긴 상태입니다.
◆ 악성 유방질환
악성 유발질환은 유방암을 의미합니다. 유방암은 유방세포가 비정상적으로 증식하여 생기는 질환으로 여성암 중 가장 흔함 암입니다. 유방암 증상으로는 유방결절, 유두 분비물, 유방통증등이 있습니다.
유방결절의 치료는 원인에 따라 달라집니다. 양성유방질환의 경우, 크기가 작고 증상이 없는 경우 특별한 치료가 필요하지 않을 수 있습니다. 크기가 크거나 통증을 유발하는 경우, 수술을 통해 제거할 수 있습니다.
유방결절이 암일 가능성은?
유방 결절일 암을 가능성은 여러 요인에 따라 달라지기 때문에 정확한 수치를 말씀드리기는 어렵습니다. 하지만 일반적으로 대부분의 유방 결절은 양성이며, 암으로 진단되는 경우는 10% 미만입니다.
◆ 암 가능성을 높이는 요인들
1) 나이 : 나이가 들수록 암 발병 가능성이 높아집니다. 특히 50세 이상 여성의 경우 유방암 발병 위험이 높습니다.
2) 가족력 : 가족 중에 유방암 환자가 있는 경우 암 발병 가능성이 높아집니다.
3) 유방암 유전자 변이 : BRCA1 또는 BRCA2 유전자 변이가 있는 경우 암 발병 가능성이 크게 높아집니다.
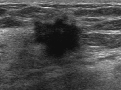
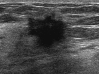
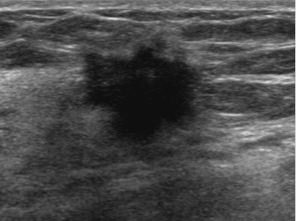
◆ 결절의 특징
1) 모양 : 불규칙하거나 찌그러진 모양의 결절은 암일 가능성이 높습니다.
2) 경계 : 경계가 명확하지 않고 주변 조직과 침범하는 형태의 결절은 암일 가능성이 높습니다.
3) 크기: 일반적으로 2cm 이상의 결절은 암일 가능성이 높습니다.
4) 성장속도: 빠르게 성장하는 결절은 암일 가능성이 높습니다.
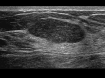
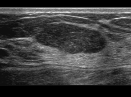
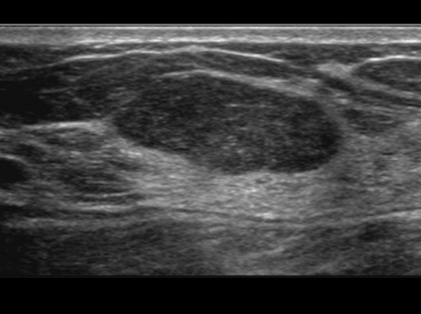
유방 초음파와 X-ray 검사
유방초음파와 X 레이(광선 촬영) 검사는 유방 질환의 진단과 평가를 위해 사용하는 두 가지 다른 방법입니다
ㆍ유방 초음파 : 초음파를 이용하여 유방의 내부를 관찰하는 검사입니다. 유방을 압박하지 않고 검사할 수 있으며 통증이 없습니다. 또한, 유방의 모든 조직을 관찰할 수 있어 유방암의 조기 발견에 효과적입니다.
ㆍ X-ray 검사 : X-ray를 이용하여 유방의 내부를 촬영하는 검사 합니다. 유방을 압박하여 평평하게 만든 후 촬영을 합니다. 유방암의 미세한 석회화를 발견할 수 있어 유방암의 즉시 발견에 효과적입니다.
| 검사 | 사용방식 | 장점 | 단점 |
| 유방 초음파 검사 | 초음파 | 통점 없음, 유방의 모든 조직 관찰 가능 | 유방암의 미세한 석회화 발견 어려움 |
| 유방 X-ray 검사 | X-ray | 유방암의 미세한 석회화 발견 가능 | 통증, 치밀 유방에서 진단 어려움 |
유방 초음파 검사는 초기발견에 효과적이지만, 유방암의 미세한 석화화를 발견하기 어렵습니다. 유방 X-ray 검사는 유방암의 미세한 석회화를 발견하기 쉽지만 , 통증이 있고, 치밀 유방에서 진단이 어려울 수 있습니다.
따라서 유방암의 조기발견을 위해서는 두 검사를 함께 받는 것이 좋습니다. 유방 초음파 검사를 통해 유방암의 조기 징후를 발견하고, 유방 X-ray 검사를 통해 유방암의 미세한 석회화를 확인하는 것입니다.



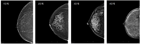
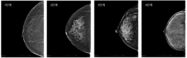
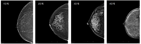
치밀 유방

치밀 유방이란 유선조직의 양이 상대적으로 많아 유방 속의 밀도가 높은 유방을 말합니다.
유방의 치밀도는 일반적으로 1단계에서 4단계로 나누어 보는데 , 3단계 이상의 치밀 유방은 유방 촬영 검사 시 유방의 50% 이상이 하얗게 나오는 경우입니다. 폐경 전 여성의 80%가 치밀 유방입니다.
치밀 유방 자체가 질환은 아니지만 유방암 발생 위험을 증가시킬 수는 있습니다.
유방촬영검사는 유방의 석회화나 혹을 발견하는데 효과적인 검사지만 , 치밀 유방에서는 석회화나 혹이 잘 보이지 않아 유방암을 발견하기 어려울 수 있습니다.
제일 중요한 것은 정기적인 검진을 받는 것입니다.
치밀 유방과 동양인
폐경 전 여성의 경우 서양인의 약 70%가 저밀도 유방인 반면, 동양인의 약 90%가 고밀도 유방이라고 합니다.
서양인의 경우 지방 조직이 많은 유방이 많기 때문에 저밀도 유방이 많은 반면, 동양인의 경우 유선조직이 많은 유방이 많으므로 고밀도 유방이 많습니다. 그러므로 정기적인 검진을 통해 건강을 지키세요.